Transform your smile with nearly invisible clear
aligners that gently guide your teeth into place.
At Crown House Dental Practice, professional care ensures
the best results for a confident, natural look.


Clear aligners are thin, nearly invisible trays that fit over your teeth, gradually shifting them into place using gentle, consistent pressure. Designed with advanced technology and professional orthodontic planning, they offer a seamless way to achieve a straighter smile without brackets or wires.
Comfortable. Removable. Nearly invisible. Clear aligners fit seamlessly
into your life—no disruptions, no compromises. Eat what you love, brush and floss as usual, and straighten your teeth without anyone noticing. It’s that simple.

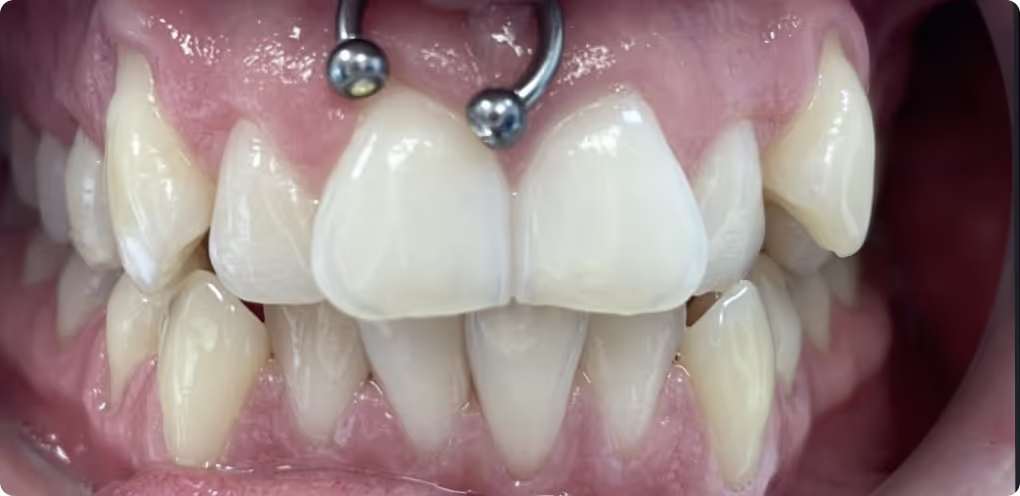
We corrected the deep bite, achieved functional occlusion, and improved the upper incisor position. The result was a beautiful smile arc with better lip support.
We utilised lower incisor extraction to effectively resolve the lower crowding and successfully correct complex rotations of the lower canines to achieve a well-aligned lower arch, with ideal overjet and overbite.
We successfully aligned the upper midline and corrected the moderately crowded lower anterior teeth. This allowed us to harmonize dental and facial midline angulations, resulting in a beautifully aligned smile.
Using roundtripping and careful staging, we were able to align the anterior teeth effectively to achieve beautifully aligned arches, achieved without aggravating the preexisting gingival recession.
This patient wanted to correct their anterior crossbite and improve the alignment of their teeth anteriorly. We finished the case with whitening and achieved a great result, the patient was really happy with.
What a wonderful experience I had, from the moment you walk in a reassuring smile from the receptionist Norma and...
I have been a patient here for a while and have just seen the new dentist, Dr Kav Chadha. He...
These guys helped me out at incredibly short notice when I was in absolute agony with an abscess. A and...
The team at Crown House Dental Practice is professional, caring and friendly. I have been with the practice for a...
Absolutely superb dental practice. Sorted out emergency dental work very quickly. Without a doubt the best dentist I have ever...
Excellent experience. Dr Kaval Chadha is professional, and thorough and quickly put me at ease; no pain and a great...